8歳から始める、健やかな土台作り
小児矯正


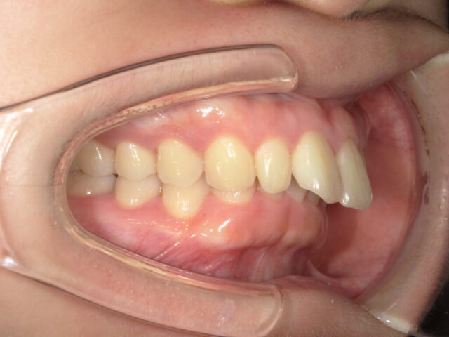
| 診断名 | 出っ歯(上顎前突)、深い噛み合わせ(過蓋咬合)、すきっ歯(正中離開) |
|---|---|
| 年齢・性別 | 8歳 |
| 治療期間・回数 | 2年10ヵ月 |
| 治療方法 | 上下拡大床、上唇小帯切除術、バイトプレート、前歯部ブラケット |
| 費用 | 440,000円(税込) |
| デメリット・注意点 | 最初は装置に違和感を覚えることがありますが、1週間ほどで自然に慣れていきます。 |
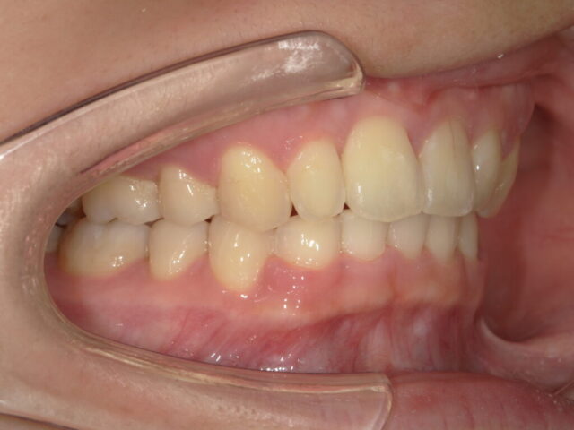
インビザラインによる開咬(オープンバイト)の改善
マウスピース矯正成人矯正


| 診断名 | 開咬(オープンバイト) |
|---|---|
| 治療期間・回数 | 1年7ヵ月 |
| 治療方法 | マウスピース型矯正(インビザライン)、非抜歯矯正 |
| 費用 | 935,000円(税込) |
| デメリット・注意点 | 使い始めやステージ変更時は締め付けられるような不快感が生じる場合がありますが、1週間前後で徐々に慣れていきます。 |
過蓋咬合(深い噛み合わせ)の改善
成人矯正


| 診断名 | 過蓋咬合 / 下顎前歯の先天欠如 |
|---|---|
| 治療期間・回数 | 2年5ヵ月 |
| 治療方法 | ワイヤー矯正(上顎4番 抜歯) |
| 費用 | 825,000円(税込) |
| デメリット・注意点 | 治療初期は痛みが生じる場合がありますが、約1週間で慣れていただけます。 |
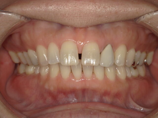
前歯のすき間(正中離開)の改善
成人矯正


| 診断名 | 前歯のすき間(正中離開) |
|---|---|
| 治療期間・回数 | 7ヵ月 |
| 治療方法 | 部分矯正(前歯のみワイヤー矯正)、上唇小帯切除術 |
| 費用 | 220,000円 |
| デメリット・注意点 | 治療開始直後や調整後には、歯が動く際の痛みや違和感が生じることがあります。通常は1週間ほどで慣れていきます。 |

